Repeated IVF/ICSI Failure
Who is causing the failure??!!
For many couples experiencing infertility, IVF constitutes the last resort treatment, sometimes after other treatment options have also failed. It is devastating to meet failure with the procedure that is supposed to get you pregnant and end your old times of waiting pregnancy. You always think that the failure is yours and caused by your body. This is not totally true!!
Careful reading of international reports of success rates at different developed countries highlights the differences in pregnancy rates between centers and ranges from 20% up to 70%!! Which simply means that success or failure is also (if not for a greater extent) depends on where you had your IVF or ICSI.
Achieving high pregnancy rates from IVF or ICSI is a combination of many factors starting from careful assessment, personalised care addressing every detail of every case, optimising the quality of the eggs and sperms obtained, advanced IVF lab, incorporating innovative procedures in its treatment plans for the more "non straight forward" patients, and other many factors responsible for the achievement of high success rates.
We have helped many couples to achieve their dream of parenthood. Many of our patients have undergone many unsuccessful IVF cycles elsewhere.
We will review your medical records and the fine details of your previous attempt(s), and may request additional testing before making final recommendations for your care.
We have specialized medication schedules for ovarian stimulation of women over 37, those with mild elevations in FSH, and patients who have previously stimulated poorly with fertility drugs.
Now let us discuss the scientific causes for repeated IVF/ICSI failure
Uterine Causes
1- uterine fibroids: if either affecting uterine cavity or exceed 40 in dimension 2- Chronic Sub-endometrial infection 3-uterine malformations: such as sub-septate uterus 4- Adenomyosis: which is endometriosis but present in the uterine wall 5- Increased likelihood of thrombosis: although there is no common consensus about its significance 6- Immunological reasons : 7- Antibodies 8- Endometrial thickness
Endometrial Receptivity Array Can Determine Embryo Implantation Timing
read more (ERA)Causes related to the Embryo
* Embryo viability is a crucial factor in achieving pregnancy, in fact ICSI success over other treatment modalities lies in the fact that embryo is achieved and assessed
*The reason behind the ovarian stimulation is to achieve many eggs so that more embryos are reached; followed by the selecting the best embryo.
* Until recently embryologists (the scientist in IVF lab) select the best embryo depending on the way the embryos shape. This has been found to be not true.
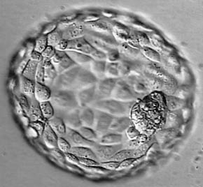
* In a later stage, embryologist started in selecting embryo that were proven to be more dividing as an indicator of vitality, by transferring embryos that have reached day 5 and called then blastocyst.
* Recently, embryologist were able to select the embryos that have the right number of chromosomes, by taking a biopsy from the embryos.
* Embryo biopsy started by taking a cell or two from day 3 embryo (when the embryo is about cells), but the procedure was found to be hazardous to the embryo and affect embryo implantation by 40%.
* Lately, a more successful biopsy was studied throughly and found not to affect embryo vitality and in the same time can select the embryo that has the right number of chromosomes.


Causes related to the Fallopian tube
Sometimes the far end part would be closed by several lesions like infection, endometriosis or previous pelvic surgery. This will form a condition known as hydrosalpinx as fluid may accumulate inside the tube. Fluid may leak back to the uterine cavity and negative lively affect the implantation of the embryo. Hydrosalpinx may or may not be diagnosed by ultrasound but the definitive way to diagnose is by doing HSG or laparoscopy. It is advisable in these cases to separate the uterus from the Fallopian tubes on the side affected.
