تنشيط التبويض ومتابعته
يعتبر تنشيط التبويض أحد الأركان الأساسية في العلاج، وكذلك فإنه أكثر الطرق والوسائل إنتشاراً ، وفي الوقت نفسه هو أول مراحل العلاج لنسبة كبيرة من الحالات. ويسعى هذا العلاج إلى الإكثار من عدد البويضات حتى تزداد فرص الحمل. توجد عدة طرق لتنشيط التبويض تعتمد على إستخدام الأدوية الأتية:
1- الكلوموفين (أقراص)
- هو أكثر الأدوية إستخداماً لتنشيط التبويض، وهي عبارة عن أقراص.
-
يعمل هذا الدواء على زيادة إفراز الهورمونات المنشطة للتبويض بنسبة 50٪.
-
ينجح هذا العلاج في الوصول إلى التبويض عند 70 - 75٪ من الحالات،
-
تصل نسبة الحمل التراكمي خلال فترة ٦ شهور من العلاج إلى 30-35٪
-
يمكن إستخدام الكلوموفين في معظم الحالات بدون الحاجة إلى متابعة التبويض بجهاز الموجات فوق الصوتية (السونار).
-
يفضل عدم إستخدام الكلوموفين لفترة تطول عن 6-12 شهر، وغالباً ما يحدث الحمل خلال الثلاث أو الأربع شهور الأولى .
-
ترتفع نسبة حدوث التوائم عند إستعمال الكلوموفين إلى حوالي 10 ٪.
-
عادة مل يحدث التبويض في اليوم 13 من بدء الدورة إذا أخذ من اليوم الثاني أو الثالث، أما إذا أخذ من اليوم الخامس
فغالباً مل يحدث التبويض في اليوم 16 أو 17 مما قد يؤدي إلى تأخير الدورة لعدة أيام عن المعتاد.
الأعراض الجانبية والتأثيرات السلبية للكلوميفين
- يقلل من سمك الغشاء المبطن للرحم مما قد يعيق من إنغماس الجنين بهذا الغشاء.
- يغير من خصائص الإفرازات الموجودة بعنق الرحم مما قد يعيق بصعود الحيوانات المنوية من خلال عنق الرحم.
- قد يؤدي للإحساس بنوبات حراري
- قد يؤدي إلى الإحساس بتغير في الرؤية
الحقن المنشطة للتبويض
- تعتبر هذه الأدوية أكثر فعالية وقوة في تنشيط التبويض.
-
لا تمتص هذه الأدوية من خلال المعدة، ولهذا لا يمكن أخذها على صورة أقراص ولكن تأخذ على صورة حقن يومية لأنها لا تبقى بالجسم لفترة تطول عن 24 ساعة.
- أنتجت شركات الدواء المختلفة عدة أجيال من الأدوية التي تحتوي على الهورمون المنشط للحويصلة FSH بحيث يزداد فيها نقاء الهورمون.
- إستخدام هذا الهورمون يؤدي إلى تنشيط المبيض ونمو عدد كبير من البويضات.
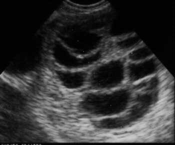
- يجب إستخدام هذه الأدوية بحرص لأنها قد تؤدي إلى التنشيط الزائد للمبيض، ولهذا يجب متابعة إستجابة المبيضين لهذه الهورمونات بإستخدام جهاز الموجات فوق الصوتية (السونار) وخاصة من خلال المهبل ، كما يمكن إضافة تحليل هورمون الإستروجين والذي إذا إرتفع مقداره عن مستوى معين يكون ذلك بمثابة المنبه لزيادة إحتملات حدوث التنشيط الزائد للمبيض والذي يمكن أن يشكل خطورة.
- لا يجب إستخدام هذه الأدوية إلا تحت الإشراف المباشر للطبيب المتخصص ومتابعته لتنشيط المبيض بإستخدام جهاز الموجات فوق الصوتية (السونار) من خلال المهبل.
- تستخدم هذه الأدوية لتنشيط التبويض إما بمفردها أو بالإضافة إلى الكلوموفين، وكذلك في برامج علاجية عديدة مثل تنشيط التبويض مع التلقيح الإصطناعي أو أطفال الأنابيب .
- تصل نسبة الحمل التراكمي خلال فترة 6 شهور من العلاج إلى70٪ .
- ترتفع نسبة حدوث التوائم عند إستعمال هذه الأدوية إلى حوالي 30٪.
تحليل خصوبة السائل المنوي المتطور من البيت
(برنامج تحليلك في بيتك)